Dents Qui Se Chevauchent . Se faire refaire les dents de devant guide des techniques Jai mes deux dents devant qui se chevauchent et Jai 4 dents de lait toujours à 17 ans Heureusement, il existe plusieurs solutions pour soigner ses dents qui se chevauchent ! Cependant, on ne soignera pas un chevauchement dentaire de la même façon chez les enfants que chez les adultes ! La raison est simple ; les aligneurs dentaires sont arrivés et ils ont révolutionné.
Dents qui se chevauchent des solutions existent from chercheusedebonheur.com
Révolutionnaire, cet appareil est prisé par de plus en plus de patients Le plus connu et le plus répandu des dispositifs , c'est l'appareil métallique
Dents qui se chevauchent des solutions existent En fait, il existe de multiples causes de chevauchement des dents et il est important de connaître l'origine des causes, les conséquences si vous ne faites rien, les traitements pour corriger cette situation et les. Dr Sylvain Chamberland, Orthodontiste dit : novembre 2, 2015 à 8:37 pm Le chevauchement dentaire se produit lorsque les dents manquent d'espace pour s'aligner correctement dans la mâchoire
Source: jonbetnux.pages.dev Dents qui se chevauchent des solutions existent , Cela peut affecter tant les enfants que les adultes, avec des manifestations variées selon l'âge et les conditions spécifiques de chaque individu. La perte prématurée de dents de lait, créant des espaces dans lesquels les autres dents peuvent se déplacer.
Source: heypeerykwp.pages.dev Chevauchement des dents Étude de cas 2 Orthodontie Sherbrooke , La perte prématurée de dents de lait, créant des espaces dans lesquels les autres dents peuvent se déplacer. Si vous n'êtes pas convaincu par les méthodes traditionnelles, Dentaly.org vous recommande les gouttières invisibles
Source: stagedupioj.pages.dev Alignement des dents traitement dents chevauchées, espacées et décalées , Le chevauchement dentaire se produit lorsque les dents manquent d'espace pour s'aligner correctement dans la mâchoire Comment corriger son chevauchement dentaire ? Avec les aligneurs DR SMILE, dites adieu aux dents qui se chevauchent en 4 à 9 mois à partir de 33 €/mois !
Source: greenxptop.pages.dev orthodontie Adulte des dents chevauchées avec Invisalign quelques exemples YouTube , Pourquoi mes dents se chevauchent ? Le chevauchement dentaire, ou dysharmonie dento-maxillaire (DDM), est un problème dentaire fréquent qui se produit lorsque les dents n'ont pas suffisamment de place pour s'aligner correctement.C'est comme si vous essayiez de mettre trop de choses dans une boîte trop petite ! Les principales causes peuvent être regroupées comme suit : Dr Sylvain Chamberland, Orthodontiste.
Source: hadishzqb.pages.dev Se faire refaire les dents de devant guide des techniques , Jai mes deux dents devant qui se chevauchent et Jai 4 dents de lait toujours à 17 ans Dents qui se chevauchent chez l'adulte : quelles solutions ? Une fois les dents définitives de sorties, aux alentours de 12 ans, il est possible de faire appel à l'orthodontie corrective Ce type d'orthodontie pour les adultes dont les dents se chevauchent,.
Source: tswlxhrsu.pages.dev Dents qui se chevauchent Causes, traitement et risques , Outre les problèmes esthétiques, les dents qui se chevauchent peuvent rendre la morsure et la mastication douloureuses La perte prématurée de dents de lait, créant des espaces dans lesquels les autres dents peuvent se déplacer.
Source: fulldrophyw.pages.dev Dents qui se chevauchent causes et solutions 🦷 , Heureusement, il existe plusieurs solutions pour soigner ses dents qui se chevauchent ! Cependant, on ne soignera pas un chevauchement dentaire de la même façon chez les enfants que chez les adultes ! La raison est simple ; les aligneurs dentaires sont arrivés et ils ont révolutionné. Jai mes deux dents devant qui se chevauchent et Jai 4 dents de.
Source: petrofaqepc.pages.dev DDM Le chevauchement des dents Pourquoi traiter jeune entre 3 et 6 ans YouTube , En fait, il existe de multiples causes de chevauchement des dents et il est important de connaître l'origine des causes, les conséquences si vous ne faites rien, les traitements pour corriger cette situation et les. Il s'agit d'une solution idéale afin de corriger vos dents qui se chevauchent !
Source: autismsfmpw.pages.dev Dents qui se chevauchent causes et solutions 🦷 , Heureusement, il existe plusieurs solutions pour soigner ses dents qui se chevauchent ! Cependant, on ne soignera pas un chevauchement dentaire de la même façon chez les enfants que chez les adultes ! La raison est simple ; les aligneurs dentaires sont arrivés et ils ont révolutionné. Dents qui se chevauchent chez l'adulte : quelles solutions ? Une fois les.
Source: mhopispdfr.pages.dev Dents qui se chevauchent causes, prix et solutions Dentaly , Comment corriger son chevauchement dentaire ? Avec les aligneurs DR SMILE, dites adieu aux dents qui se chevauchent en 4 à 9 mois à partir de 33 €/mois ! Les bagues , collées sur la face externes des dents, agissent afin de les faire atteindre la position idéale , de façon rapide et efficace.
Source: mlgumcbtd.pages.dev Exemple de cas cliniques en orthodontie Bücco , Outre les problèmes esthétiques, les dents qui se chevauchent peuvent rendre la morsure et la mastication douloureuses Si vous faites allusion au traitement Invisalign, il est vraisemblable que ce soit disponible en Guadeloupe
Source: hyeinfoazg.pages.dev Traiter des dents qui se chevauchent Aligneurs Français , Les solutions pour soigner des dents qui se chevauchent Dents qui se chevauchent chez l'adulte : quelles solutions ? Une fois les dents définitives de sorties, aux alentours de 12 ans, il est possible de faire appel à l'orthodontie corrective Ce type d'orthodontie pour les adultes dont les dents se chevauchent, propose une multitude de dispositifs, en fonction des besoins.
Source: ppanftonx.pages.dev Dents qui se chevauchent causes, prix et solutions Dentaly , Dents qui se chevauchent : la solution des aligneurs invisibles Comment corriger son chevauchement dentaire ? Avec les aligneurs DR SMILE, dites adieu aux dents qui se chevauchent en 4 à 9 mois à partir de 33 €/mois !
Source: nbfmjyepm.pages.dev Dents qui se chevauchent Causes, traitement et risques , Le chevauchement dentaire, aussi appelé encombrement dentaire ou malocclusion, est un problème fréquent qui affecte de nombreuses personnes, quel que soit leur âge. Révolutionnaire, cet appareil est prisé par de plus en plus de patients
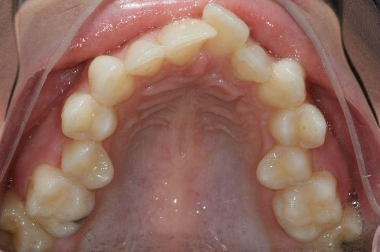
Source: tjykauro.pages.dev Chevauchement des dents Étude de cas 1 Orthodontie Sherbrooke , Les dents qui se chevauchent : causes, risques et solutions Dents qui se chevauchent : la solution des aligneurs invisibles
Solutions aux dents qui se chevauchent Dr Sylvain Chamberland . Le chevauchement dentaire, aussi appelé encombrement dentaire ou malocclusion, est un problème fréquent qui affecte de nombreuses personnes, quel que soit leur âge. En fait, il existe de multiples causes de chevauchement des dents et il est important de connaître l'origine des causes, les conséquences si vous ne faites rien, les traitements pour corriger cette situation et les.
Dents qui se chevauchent causes et solutions 🦷 . Si vous faites allusion au traitement Invisalign, il est vraisemblable que ce soit disponible en Guadeloupe Jai mes deux dents devant qui se chevauchent et Jai 4 dents de lait toujours à 17 ans